If you are a Wichita Falls, TX resident, you must be aware that people there maintain extra care for their oral fitness. However, many individuals fail to care for their gum’s health. Thus, leaving your gum issues untreated can lead to bleeding and periodontal illness. However, there are many treatment options for injured gums; hence, you can make sure to do so under your family dentist’s supervision. In addition, in Wichita Falls, TX, you can seek assistance from a dentist in Wichita Falls, TX, and you can clarify all your queries regarding your gum’s health.
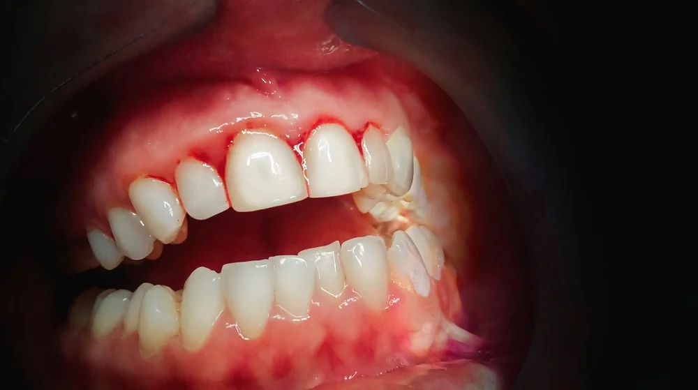
Causes of bleeding gums:
- Poor oral hygiene
Not maintaining proper oral hygiene can affect your oral health. You must understand that not maintaining your oral health routine will give you access to plaques to invade and feed on your enamel and infect your gums. This infection leads to inflammation of the gums and results in bleeding.
- Gingivitis
Gingivitis is another name for red and swollen gums. Usually, gingivitis is caused by not maintaining proper oral hygiene. Poor oral health allows bacteria and plaque to infest your teeth and gumline. They release an acid from them that affects your enamel and gumline. Thus, make sure to maintain proper oral health.
- Periodontitis
If your gingivitis is left untreated, it will turn into periodontitis. Periodontitis is a severe form of gingivitis, where your gums will turn red and swell and will be inclined to bleeding. Likewise, still, if your gums are left untreated it can result in gum recession and tooth loss.
- Medications
Some medications can also cause a rash in your gums and result in bleeding. Medications like blood thinners and antiplatelet drugs can lead to gum problems and tooth loss. Thus, make sure that you inform your dental caretaker about the medications you are taking.
Treatments for bleeding gums:
- Scaling and root planning
Scaling and root planning are two of the most common treatments for protecting your gums from bleeding. In this treatment, all the tartar and plaque will be removed from your gumline, and the roots of your teeth will reattached your gum tissues.
- Professional dental cleanings
Regular dental cleanings are essential for removing all the tartar and plaque from your gums. Your professional dental caretaker will make sure to address all the oral issues you have regarding your gums. Thus, you will not have to worry about gum diseases and the risks of bleeding gums once you go through a dental cleaning.
- Improve oral hygiene
If you constantly take proper care of your oral health by brushing, flossing, and maintaining your routine checkups, you will not have to face any issues regarding your oral health, may it be your gums, jaw, or teeth.
Therefore, if you find your gums bleeding or swelling, make sure you consult your dentist immediately and take preventive measures.


